Online eBook Library

Part 10 > 第154章 皮下異物(金属,歯の破片,ガラス,砂利,硬質プラスチック)

著者:Philip M. Buttaravoli and Kevin J. Brochu
翻訳:國光克知(北海道家庭医療学センター・帯広協会病院総合診療科,京都府立医科大学救急医療学教室)
監訳:渡瀬剛人(藤田医科大学病院 救急医学・総合内科学講座)
 
概要
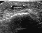
皮下の異物は,投射物(例えば金属の研削時)によって生じる場合もあれば,転倒時の創傷汚染によって生じる場合もある.異物除去によるリスクと除去しない場合のリスクを比較検討したうえで行う対応に重点を置いて,画像評価,位置の同定,除去について説明する.
 
キーワード
無血野
探針(ゾンデ)
異物除去
異物感
ガラス
砂利
不活性異物
金属
有機異物
触知可能な異物
プラスチック
皮下の残留異物
皮下異物
異物の疑い
超音波ガイド下の除去法
木片異物

臨床像  
    ハンマーがノミ等の他の金属を打つと,中程度の速度で小さな金属片が飛ぶことがある.患者は刺すような痛みを感じて小さな刺創や出血に気づき,創の中に異物があるのではないかと心配する.BB弾はよりわかりやすく,同様の問題を引き起こすだろう.放射線不透過性の硬い異物として,他にはガラスの破片があり,特にガラスの破片を踏んでしまった場合や,自動車事故でガラス破片が飛んできた場合に受傷する.砂利の上に落ちた場合も,小さな刺創から鋭い破片が皮下に押し込まれることがある.身体所見では刺創が観察でき,その下に暗い変色部位や触知可能な異物がみられることがある.
    閲覧にはご購入・ログインが必要となります。

    ご購入はこちら
    ログインする