著者:Katie M. Wells and Deborah Governale
翻訳:秦龍彦(福井大学医学部附属病院 救急部/集中治療部)
監訳:渡瀬剛人(藤田医科大学病院 救急医学・総合内科学講座)
概要
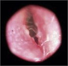
急性外耳道炎(AOE)では,患者は耳の痛みを訴える.この痛みは不快で,時に我慢できないほどであり,しばしば耳漏や耳閉感,聴力低下を伴い,時には発熱も伴う.抗生物質の点耳薬が必要になる可能性を考慮して,綿密なフォローアップと再評価が必要である.
キーワード
酸性溶液
急性外耳道炎
慢性外耳道炎
聴力低下
耳漏
耳の感染症
耳の痛み
イヤーウィック
外耳道のかゆみ
悪性外耳道炎
壊死性外耳道炎
外耳道炎
耳周囲蜂窩織炎
素因
外耳道周囲の腫脹
スイマーズイヤー