Online eBook Library
著者:Daniel Barkhuff and Skyler Lentz
翻訳:三浦耕司(倉敷中央病院 救急科)
監訳:渡瀬剛人(藤田医科大学病院 救急医学・総合内科学講座)
 
概要
急性の単眼性飛蚊症や閃光等の主訴で受診する.最も多い原因は後部硝子体剝離であるが,網膜剝離または網膜裂孔,脳血管障害,硝子体出血も考慮する必要がある.網膜剝離は眼科への緊急紹介を必要とするが,後部硝子体剝離は外来での経過観察が可能である.視力検査,詳細な眼科検査および眼底検査,ベッドサイド超音波検査とともに病歴が診断の助けとなる.
 
キーワード
一過性黒内障
巨細胞性動脈炎
片頭痛
単眼飛蚊症
眼超音波検査
色素細胞
後部硝子体剝離
網膜剝離
網膜裂孔
タバコの粉塵
視覚オーラ
視覚フラッシュ
視覚浮遊物
硝子体出血

臨床像  
    急性の単眼性浮遊物や閃光を訴えて受診することがある.飛蚊症は,視野の中で灰色または暗色の「塊」や「虫」と表現されることがあり,硝子体(17.1)を通過する光の干渉によって引き起こされる.「閃光」は,硝子体ゼリーの収縮による網膜の牽引によって生じる白色の閃光である.急性の飛蚊症の最も多い原因は後部硝子体剝離である.後部硝子体剝離の発生率は,経時的に硝子体が液化,収縮,短縮するにつれて加齢とともに増加する.その結果,硝子体への牽引力や輪郭の変化により,浮遊物や閃光が生じることがある.考慮すべき鑑別診断は,網膜剝離,網膜裂孔,硝子体出血,前兆を伴う片頭痛,脳血管障害等である.
     
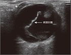
    片頭痛の前兆は通常,原発性眼疾患に典型的な単眼ではなく両眼性の視覚変化を伴う.まれに後頭部の脳卒中が視覚変化を引き起こすことがあるが,これも一般に両眼性である.血管の危険因子や巨細胞性動脈炎の症状を伴う一過性の単眼性視力障害の患者では,一過性黒内障を考慮すべきである.網膜裂孔または網膜剝離はしばしば視覚障害を引き起こすが,一過性ではない.完全な網膜裂孔は通常,「影」または「暗幕」と表現される部分的な単眼視野欠損を呈する.網膜剝離は眼科医へ緊急紹介する必要があり,その見極めが重要である.硝子体出血は,単眼視力の喪失,視野の線状欠損,かすみ目等の症状が現れる.後部硝子体剝離,硝子体出血,網膜剝離は,ベッドサイドの超音波検査で確認できることがある.
    閲覧にはご購入・ログインが必要となります。

    ご購入はこちら
    ログインする