Online eBook Library
著者:Daniel Barkhuff and Skyler Lentz
 
Abstract
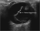
Patients may present with visual complaints of acute monocular floaters or flashes of light. The most common cause is a posterior vitreous detachment, but a retinal detachment or tear, cerebrovascular causes, and vitreous hemorrhage also must be considered. A retinal detachment requires urgent ophthalmology referral whereas a posterior vitreous detachment can be seen in follow-up. The history along with visual acuity, detailed ophthalmologic and fundoscopic exam, and bedside ultrasound can aid in the diagnosis.
 
Keywords
amaurosis fugax
giant cell arteritis
migraine
monocular floaters
ocular ultrasound
pigmented cells
posterior vitreous detachment
retinal detachment
retinal tear
tobacco dust
visual aura
visual flashes
visual floaters
vitreous hemorrhage

Presentation