Online eBook Library
著者:Daniel Barkhuff and Skyler Lentz
 
Abstract
Patients may present with corneal foreign bodies such as a metallic object. Superficial foreign bodies should be removed at presentation to prevent permanent damage. Common techniques include using a moistened cotton swab, an 18-gauge needle, or a corneal burr drill for a rust ring. A detailed history and exam should be performed to rule out a more serious penetrating globe injury. Topical antibiotics, topical or oral pain control, and ophthalmology follow-up after removal are recommended.
 
Keywords
Corneal foreign body
endophthalmitis
Foreign body removal
intraocular foreign body
ophthalmic spud
Rust ring

Presentation  
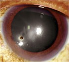
    Patients often present after eye injury from falling or airborne particles such as rust, particles from metal grinding, windblown grit, and wood or masonry from construction sites. The patient will complain of a foreign-body sensation and tearing and, possibly over time, will develop constant pain, redness, and photophobia (posttraumatic iritis). Moderate-velocity to high-velocity foreign bodies (fragments chipped from a chisel when struck by a hammer or spray from a grinding wheel) can be superficially embedded on the corneal surface or lodged deep in the corneal stroma, the anterior chamber, or even the vitreous. Superficial foreign bodies may be visualized by simple sidelighting of the cornea or by slit-lamp examination. Deep foreign bodies may be visible on funduscopy only as moving shadows, with a slight or invisible puncture in the sclera.
    閲覧にはご購入・ログインが必要となります。

    ご購入はこちら
    ログインする