Online eBook Library
著者:Daniel Barkhuff and Skyler Lentz
翻訳:田中庸介(倉敷中央病院 救急科)
監訳:渡瀬剛人(藤田医科大学病院 救急医学・総合内科学講座)
 
概要
金属等の角膜異物を主訴に患者が来院することがある.不可逆的な損傷を防ぐために,表面の異物は診察時に除去すべきである.一般的な方法としては,湿らせた綿棒,18ゲージの針,錆輪に対する角膜ドリルを使用する方法がある.より重篤な貫通性眼球損傷を除外するために,詳細な病歴聴取と診察を行うべきである.抗生物質の点眼投与,点眼または内服での疼痛コントロール,除去した後の眼科でのフォローアップが推奨される.
 
キーワード
角膜異物
眼内炎
異物除去
眼内異物
眼科用スパッド
錆輪

臨床像  
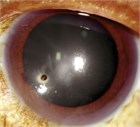
    錆,金属が研削されてできた粒子,風に飛ばされた砂埃,建設現場からの木材や石工等落下または粒子によって目を損傷した後に患者は来院することが多い.患者は異物感と流涙を訴え,おそらく時間の経過とともに持続的な痛み,充血,羞明(外傷後虹彩炎)を発症する.中速から高速で目に入った異物
    (ハンマーで叩いたときにノミから砕けた破片,または研削用ホイールからの飛び散った破片)は,角膜表面にはまり込んだり,角膜実質,前房,さらには硝子体の奥深くに入り込んだりする.表層の異物は,角膜の横から光を当てるだけでも可視化できたり,細隙灯顕微鏡検査によって可視化できることもある.深部に入り込んだ異物は,眼底検査では可動性のある影としてのみ見えることがあり,強膜にわずかな,もしくは目には見えない穿孔を伴うことがある.
    閲覧にはご購入・ログインが必要となります。

    ご購入はこちら
    ログインする