Online eBook Library

Part 4 > 第51章 歯肉炎と急性壊死性潰瘍性歯肉炎(塹壕口内炎)

著者:Daniel Wolfson and Nathaniel Moore
翻訳:大塚哲也(飯塚病院 集中治療科)
監訳:渡瀬剛人(藤田医科大学病院 救急医学・総合内科学講座)
 
概要
本章では,歯肉炎と急性壊死性潰瘍性歯肉炎について概説する.軽度の歯肉炎では,患者の歯肉は易出血性であり,発赤を伴って腫脹して,刺激に敏感になる.症状が進行すると,歯肉は退縮し始め,さらなる炎症が惹起される.さらに進行すると急性壊死性潰瘍性歯肉炎に至り,歯肉の激しい疼痛,味覚異常,強い口臭を伴うようになる.軽症の場合は口腔洗浄のみで治療が可能であるが,重症の場合は抗生物質が必要となる.
 
キーワード
急性壊死性潰瘍性歯肉炎
歯槽骨破壊
ANUG(acute necrotizing ulcerative gingivitis:急性壊死性潰瘍性歯肉炎)
口臭
歯肉出血
歯茎出血
歯肉痛
歯肉炎
口臭
歯間歯肉壊死
歯間乳頭
歯周感染症
偽膜様壊死組織
歯肉発赤
歯肉腫脹
塹壕口内炎
急性壊死性潰瘍性歯肉炎(Vincent angina)

臨床像  
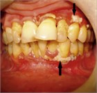
    軽度の歯肉炎では,患者の歯肉は易出血性であり,発赤を伴って腫脹して刺激に敏感になる.症状が進行すると,歯肉は退縮し始め,炎症の程度を反映してより強い発赤を示す.
     
    さらに進行すると,最も重度の歯性感染症である塹壕口内炎,すなわち急性壊死性潰瘍性歯肉炎(ANUG)に至る.
     
    患者は歯肉全体の激しい痛みを訴え,しばしば味覚異常や,酷い口臭を伴うようになる.歯肉は腫状となって発赤を伴い,歯間の歯肉には灰白色の膜様の壊死組織が生じる.歯肉は易出血性となり,歯肉組織,特に歯間乳頭が失われる.最終的には歯の動揺が起こり,発熱や脱力感を伴う全身性の感染徴候が現れることがある.
    閲覧にはご購入・ログインが必要となります。

    ご購入はこちら
    ログインする