ユーザー情報
ログイン
お問い合わせ・フィードバック
マイナーエマージェンシー 原著第4版(日本語版)
英語ページ
Part 5 > 第65章 肋骨骨折と肋骨軟骨分離
オーディオ
英語ページ
オーディオ
問題を解く>>
(
自己学習ガイドを見る
)
はじめに
表紙
Contributors
Copyright
Dedication
List of Contributors
まえがき
序文
謝辞
監訳者序文
免責事項
Part 1
第1章 薬物による急性ジストニア反応
第2章 熱中症(熱失神,熱痙攣,熱疲労)
第3章 過換気
第4章 心因性非てんかん発作(解離性痙攣)
第5章 特発性顔面神経麻痺(Bell麻痺)
第6章 片頭痛
第7章 成人の痙攣発作
第8章 小児の痙攣(熱性・無熱性)
第9章 緊張型頭痛
第10章 軽微・軽度の頭部外傷(脳震盪)
第11章 血管迷走神経性失神,神経心原性失神,神経調節性失神
第12章 めまいと回転性めまい
第13章 脱力
Part 2
第14章 結膜炎
第15章 コンタクトレンズの合併症
第16章 角膜上皮剝離
第17章 飛蚊症
第18章 異物,結膜
第19章 角膜異物
第20章 麦粒腫(Stye)
第21章 虹彩炎(急性前部ぶどう膜炎)
第22章 眼窩周囲および結膜浮腫
第23章 眼窩周囲斑状出血(ブラックアイ)
第24章 位置がずれたコンタクトレンズの取り外し
第25章 結膜下出血
第26章 紫外線角結膜炎(溶接工または日焼けによる熱傷)
Part 3
第27章 耳垢の詰まり(耳垢塞栓)
第28章 鼻出血(鼻血)
第29章 耳の異物
第30章 鼻の異物
第31章 咽頭の異物
第32章 喉頭気管気管支炎(クループ)
第33章 単核球症(伝染性単核球症)
第34章 鼻骨骨折(鼻骨折)
第35章 急性外耳道炎(スイマーズイヤー)
第36章 急性中耳炎
第37章 滲出性中耳炎:漿液性(分泌性)中耳炎(耳管粘液閉鎖)
第38章 鼓膜穿孔(鼓膜破裂)
第39章 咽頭炎(咽頭痛)
第40章 (急性)鼻炎(鼻汁)
第41章 鼻副鼻腔炎(副鼻腔炎)
Part 4
第42章 (急性)アフタ性潰瘍
第43章 歯の脱離,亜脱臼,脱臼
第44章 歯科手術後の出血
第45章 口腔内灼熱症候群,舌の灼熱(舌痛)
第46章 歯痛,根尖周囲膿瘍(歯膿瘍)
第47章 歯痛,歯冠周囲炎
第48章 歯痛,抜歯後歯槽骨炎(ドライソケット,感染ソケット,壊死ソケット,限局性骨炎)
第49章 歯痛,歯髄炎
第50章 歯牙外傷(骨折,亜脱臼,変位)
第51章 歯肉炎と急性壊死性潰瘍性歯肉炎(塹壕口内炎)
第52章 口腔裂傷
第53章 口腔カンジダ症(鵞口瘡・酵母感染症)
第54章 単純ヘルペス(口唇ヘルペス,発熱性水疱)
第55章 歯列矯正合併症
第56章 ペルレーシュ(角口唇炎)
第57章 唾石症(唾液管結石)
第58章 顎関節症
第59章 顎関節脱臼(顎脱臼)
第60章 急性口蓋垂浮腫
Part 5
第61章 (急性)気管支炎(気管支炎型の感冒)
第62章 肋軟骨炎と筋骨格系胸痛
第63章 吸入性傷害(煙吸入)
第64章 刺激性無能力剤への曝露(催涙剤,暴動鎮圧剤,催涙ガス)
第65章 肋骨骨折と肋骨軟骨分離
ページトップ
臨床像
すべきこと
してはいけないこと
参考文献
Part 6
第66章 裂肛
第67章 閉塞管(Gチューブ,Jチューブ)
第68章 便秘,過敏性腸症候群,疝痛(胃痙攣)
第69章 下痢症(急性胃腸炎)
第70章 蟯虫感染症(pinworm,seatworm,threadworm)
第71章 食塊による食道閉塞(ステーキハウス症候群)
第72章 異物・直腸
第73章 異物誤飲
第74章 痔核
第75章 しゃっくり(吃逆)
第76章 嘔吐(食中毒,胃腸炎)
Part 7
第77章 鈍的陰嚢損傷
第78章 色のついた尿
第79章 精巣上体炎
第80章 性器単純ヘルペス
第81章 包茎,嵌頓包茎
第82章 急性細菌性前立腺炎
第83章 尿道炎(クラミジア,淋病)
第84章 急性尿閉
第85章 単純性下部尿路感染症(膀胱炎)
Part 8
第86章 バルトリン膿瘍
第87章 尖圭コンジローマ(性器疣贅)
第88章 接触外陰腟炎
第89章 月経困難症(生理痛)
第90章 膣異物
第91章 骨盤内炎症性疾患(PID)
第92章 性的曝露後の予防法
第93章 性器出血
第94章 腟炎
Part 9
第95章 肩鎖関節(肩関節)離開
第96章 足関節捻挫(足首の捻挫)
第97章 輪状靱帯変位,橈骨頭亜脱臼(ナースメイド肘,肘内障)
第98章 ボタン穴変形(ブートニエール変形,ブートニエールフィンガー)
第99章 第5中手骨骨折(ボクサー骨折)
第100章 滑液包炎
第101章 手根管症候群
第102章 頸椎挫傷(むち打ち)
第103章 鎖骨骨折
第104章 尾骨骨折
第105章 de Quervain傍腱炎(母指腱鞘炎)
第106章 伸筋腱剝離—末節骨(マレット変形または槌指)
第107章 指の脱臼(近位指節間関節)
第108章 指捻挫(PIP関節)
第109章 末節骨粗面(Tuft)骨折
第110章 深指屈筋腱剝離—末節骨(スプレーフィンガー,ジャージーフィンガー)
第111章 ガングリオン嚢胞
第112章 急性痛風性関節炎
第113章 膝捻挫
第114章 外側上顆炎と内側上顆炎(テニス肘,ゴルフ肘)
第115章 靱帯捻挫(関節包損傷を含む)
第116章 膝関節のロッキング
第117章 (急性)腰椎捻挫(機械的腰痛,仙腸関節機能障害)
第118章 急性単関節炎
第119章 筋痙攣(チャーリー・ホース)
第120章 筋挫傷と断裂
第121章 筋筋膜性疼痛症候群(トリガーポイント)
第122章 膝蓋骨脱臼
第123章 足底筋膜炎(踵骨棘)
第124章 足底腱断裂,腓腹筋断裂(ふくらはぎの筋肉の断裂)
第125章 橈骨頭骨折
第126章 橈骨神経麻痺(土曜夜の麻痺)
第127章 舟状骨骨折
第128章 肩関節脱臼
第129章 腱障害:腱症,傍腱炎(腱炎)
第130章
足趾
骨折
第131章 斜頸(Wryneck)
第132章 母指の尺側側副靱帯断裂(スキーストック母指,スキーヤー母指,ゲームキーパー母指)
Part 10
第133章 自転車スポーク損傷
第134章 挫傷(打撲傷)
第135章 手指または足趾の爪剥離
第136章 指尖部損傷,指尖部切断
第137章 釣り針の除去
第138章 爪下異物
第139章 軽症の杙創(突き刺さってできた損傷)
第140章 単純な裂傷
第141章 下腿浮腫
第142章 哺乳動物咬傷
第143章 海洋生物による刺傷
第144章 爪床裂傷
第145章 爪根脱臼
第146章 足底の伏針(異物)
第147章 針刺し事故(曝露後予防)
第148章 急性爪囲炎
第149章 鉛筆の芯による刺創
第150章 ピアスの合併症
第151章 穿刺創
第152章 指輪の取り外し
第153章 細片,表層の異物
第154章 皮下異物(金属,歯の破片,ガラス,砂利,硬質プラスチック)
第155章 爪下斑状出血(tennis toe)
第156章 爪下血腫
第157章 表在性血栓性静脈炎/出血性静脈瘤
第158章 テーザー銃による外傷
第159章 耳垂裂創
第160章 外傷性刺青と擦過傷
第161章 ファスナーによる外傷(陰茎または顎)
Part 11
第162章 アレルギー性接触皮膚炎
第163章 クモ毒(クモ咬傷)
第164章 節足動物咬傷(虫咬傷,昆虫咬傷)
第165章 皮膚の膿瘍・膿疱
第166章 皮膚幼虫移行症(Creeping Eruption)
第167章 おむつ皮膚炎(おむつかぶれ)
第168章 丹毒,蜂巣炎,リンパ管炎
第169章 ヒアリ刺傷
第170章 摩擦による水疱
第171章 軽度寒冷障害,凍傷,軽度低体温症
第172章 帯状疱疹
第173章 ハチ(ミツバチ,アシナガバチ,スズメバチ)刺症
第174章 膿痂疹
第175章 II度(部分層)熱傷,タール熱傷
第176章 シラミ症(シラミ,ケジラミ)
第177章 バラ色粃糠疹
第178章 化膿性肉芽腫(小葉毛細血管腫)(Proud Flesh)
第179章 疥癬(ヒトヒゼンダニ)
第180章 海水浴皮膚炎(sea lice)
第181章 日焼け
第182章 ダニ咬傷症とダニ媒介性疾患
第183章 足白癬,股白癬,体部白癬(水虫,いんきんたむし,ぜにたむし)
第184章 ウルシ類によるアレルギー性接触皮膚炎(ツタウルシ,アメリカツタウルシ,ドクウルシ)
第185章 (急性)蕁麻疹
第186章 疣贅(尋常性・足底性)
おわりに
付録A 視力検査
付録B 指ブロック
付録C 指尖部ドレッシング(簡易)
付録D 口腔神経ブロック
付録E 処置時の鎮静と鎮痛
付録F 狂犬病予防
付録G 破傷風予防
付録H 子宮内避妊器具除去
略称
ページトップ
著者:Alison Sullivan and Katherine A. Walsh
翻訳:浦上雄平(倉敷中央病院 救急科)
監訳:渡瀬剛人(藤田医科大学病院 救急医学・総合内科学講座)
概要
合併症のない肋骨骨折の診断と管理について説明する.
キーワード
肋骨骨折
咳を伴う胸痛
深吸気時の胸痛
体動時の胸痛
胸壁痛
肋軟骨骨折
肋骨骨折の臨床診断
第1肋骨骨折,第2肋骨骨折,第3肋骨骨折
下位肋骨骨折
多発肋骨骨折
潜在性肋骨骨折
肋骨ベルト
肋骨痛
タッピングリブ
23267
臨床像
肋骨骨折や軽度の肋軟骨分離症は,最近転倒して胸の横を打った,鈍器で殴られた,激しく咳をした,硬いものにもたれかかった等の原因で発症することがある.初期の胸痛は一時的におさまることもあるが,その後数時間~数日間は体動時の痛みが増し,睡眠や活動に影響を及ぼし,咳や深呼吸をすると痛みが強くなる.肋骨が折れているのではないかと心配になることが多く,骨性の摩擦音や異常な肋骨の動きを感じることがある.両側の呼吸音はスプリンティング(痛みによる吸気制限)や気胸または血胸がない限り正常のはずである.損傷部位に限局した圧痛があり,ときどき骨性の摩擦音を感じることがある.
閲覧にはご購入・ログインが必要となります。
ご購入はこちら
ログインする
図65.1 外側肋骨骨折を明らかにするための前後方向の圧迫と,前または後骨折を明らかにするための外側内側の圧迫による間接ストレステスト.
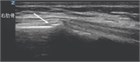
図65.2 肋骨骨折のポイントオブケア超音波(POCUS)画像(
矢印
).
図65.3 肋骨ベルトとベルクロリブベルトの適切な配置.
ページ上部に戻る
Are you sure you want to copy text below?