Online eBook Library
(class:authorbox)
著者:Katherine Dolbec and Joe Ravera
翻訳:鈴木優子(トヨタ記念病院 救急科)
監訳:渡瀬剛人(藤田医科大学病院 救急医学・総合内科学講座)
 
概要
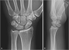
舟状骨骨折は急性期において見逃されることが多い.それは,身体所見が派手ではなく,受傷直後のX線像で偽陰性となることが多いためである.診察医は舟状骨骨折の可能性を常に念頭に置くべきである.X線像が陰性でも臨床的に強く疑われる場合には,次なる画像検査を検討する.治療はスプリント固定,鎮痛薬の服用,および整形外科外来でのフォローアップを行う.
 
キーワード
解剖学的嗅ぎタバコ窩の圧痛
解剖学的嗅ぎタバコ窩
手を伸ばした状態での転倒
Fat stripe
FOOSH(fall on outstretched hand)
FOOSH(fall on outstretched hand)損傷
舟状骨骨折
偽関節
骨壊死
月状骨周囲脱臼
舟状骨圧迫テスト
舟状骨骨折
舟状骨結節の圧痛
手関節骨折
手関節損傷
手関節痛
手関節腫脹

臨床像  
    舟状骨骨折は14~40歳に好発し,手関節を伸展した状態で手をついて転倒(FOOSH)し,関節可動域(ROM)の減少と手関節(特に橈側の背側)に強い痛みを訴える.身体診察では,変形や斑状出血はみられないが,動作や触診で疼痛を認め,しばしば腫脹もみられる.腫脹は特に解剖学的嗅ぎタバコ入れ(母指を伸展した際に,長母指外転筋と短母指伸筋の腱の間にある,手関節の橈側にみられる窪み.127.1)でみられる.疼痛は軽度のこともあるが,握ったり掴んだりすると悪化する.
    閲覧にはご購入・ログインが必要となります。

    ご購入はこちら
    ログインする