著者:Philip M. Buttaravoli and Kevin J. Brochu
Abstract
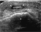
Subcutaneous foreign bodies can be the result of projectile injuries (e.g., grinding metals) or due to falls with subsequent wound contamination. Imaging, location, and removal are discussed, with an emphasis on a balanced approach between risk of removal vs. risk of retention.
Keywords
bloodless field
blunt metal probe
foreign body removal
foreign body sensation
glass
gravel
inert foreign body
metal
organic foreign body
palpable foreign bodies
plastic
retained subcutaneous foreign body
Subcutaneous foreign bodies
suspected foreign body
ultrasound-guided techniques
wood