Online eBook Library
著者:Daniel Wolfson and Nathaniel Moore
 
Abstract
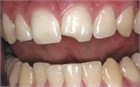
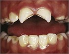
This chapter discusses dental trauma. Dental fractures may be classified by the Ellis system or described clinically as being an uncomplicated enamel fracture, a fracture with exposed dentin, or a fracture with exposed pulp. Indications for dental referral, antibiotics and splinting are reviewed.
 
Keywords
alveolar fracture
aspirated dental fragments
broken tooth
broken tooth fragments
crown fracture involving pulp
dental displacement
Dental fracture
dental subluxation
Dental trauma
Elliis class I fracture
Ellis class II fractures
Ellis class III fractures
embedded dental fragments
exposed dentin
exposed pulp
extruded teeth
fracture with exposed dentin
impacted inward
intruded permanent teeth
intruded primary teeth
loose tooth
partially avulsed
tooth fragments
uncomplicated enamel fracture

Presentation