著者:Daniel Barkhuff and Skyler Lentz
Abstract
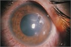
Contact lens wearers may experience ocular complications of lens use. A history followed by removal of the lens and a detailed ophthalmologic exam is recommend. Treatment often consists of topical antibiotics with Pseudomonas coverage, discontinuation of lens use, follow-up, and supportive care.
Keywords
Contact Lens Complications
Keratitis